Tangazo

Tangazo

TIGO 4G

AIRTEL TANZANIA

Tembelea Tabibu wa kweli hapa Kila siku kufahamu magonjwa mbalimbali ya binadamu,vipimo vya kitabibu na ushauri wa kitaalamu

Thursday, September 8, 2016

HII NI MUHIMU KUSOMA: FAHAMU SABABU NANE(8) ZA MAUMIVU YA KICHWA.

Maumivu ya kichwa ni hali inayosumbua watu wengi kwa sasa, hii ni kutokana na kuongezeka kwa magonjwa ambayo yanakuja na dalili za kichwa kuuma, uchovu wa kila siku, hewa nzito ya carbon dioxide na kelele nyingi za viwandani na magari.

Baadhi ya magonjwa na tabia zinayosababisha kichwa kuuma ni kama zifuatazo.

1. Utumiaji wa madawa ya kulevya na pombe.


 2. Magonjwa ya macho mfano  refractive errors

 3. Magonjwa ya ubongo mfano i.e meningitis

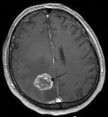
 4. Uvimbe ndani ya ubongo i.e brain tumour

 5. Magonjwa ya mifupa ya usoni i.e sinusitis

 6. Cervical degenerative osteoporosis i.e magonjwa ya mifupa ya uti wa mgongo

 7. Magonjwa ya moyo i.e presha ya damu

 8. Mgandamizo wa mawazo.


 ASANTE SANA KUTEMBELEA BLOGU YETU....KARIBU TENA.

   Dr Theobard M.Rwiza.


No comments:

Post a Comment